找回密码
 注册

结肠憩室炎伴局部穿孔

作者:大江 | 时间:昨天 16:21 | 阅读:6| 显示全部楼层
主诉

腹痛一周。

患者资料

年龄:45岁

性别:男

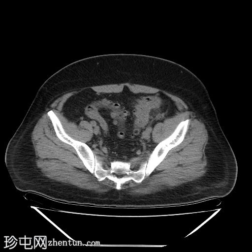
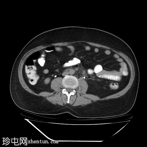
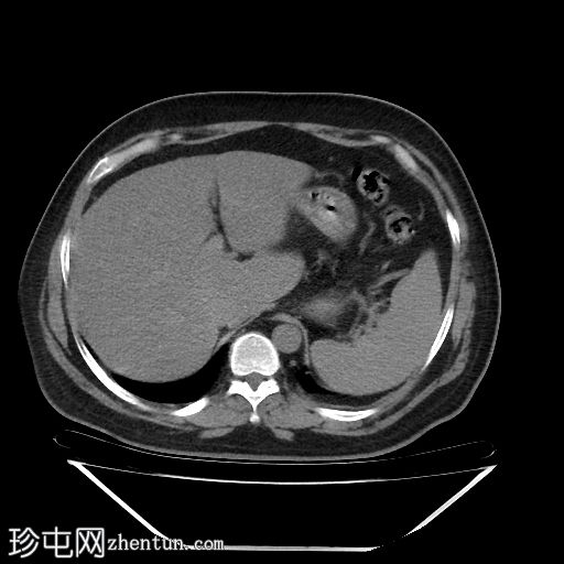
CT
轴位
平扫
1.jpg
轴位增强扫描(门静脉期)
2.jpg
轴位增强扫描(延迟期)
3.jpg
冠状位增强扫描(门静脉期)
4.jpg
冠状位增强扫描(门静脉期)
5.jpg
冠状位增强扫描(门静脉期)
6.jpg
冠状位骨窗
7.jpg
矢状位骨窗

降结肠和乙状结肠可见多个小憩室,伴有少量小(亚厘米级)区域淋巴结肿大。周围脂肪和肠壁无明显增厚。

远端降结肠后壁可见一小(<15 mm)、局限性空腔,内含气泡,伴有不规则肠壁强化和轻度邻近肠系膜脂肪条索状改变。

未见脓肿、腹水、弥漫性气腹,提示IA期复杂性急性穿孔性憩室炎(局部穿孔)。

轻度脂肪肝。

D12椎体陈旧性前压缩性骨折,无移位。

4个病例问题可供讨论

病例讨论

临床表现符合IA期复杂性急性穿孔性憩室炎(局部穿孔)。

患者目前接受保守治疗,使用广谱抗生素。
您需要登录后才可以回帖 登录 | 注册
Copyright © 2011-2026 东莞市珍屯医疗科技有限公司Powered by zhentun.com
返回顶部