找回密码
 注册

胰腺腺癌

作者:大江 | 时间:昨天 16:26 | 阅读:6| 显示全部楼层
临床表现

上腹部疼痛。碱性磷酸酶 (ALP) 和 γ-谷氨酰转移酶 (GGT) 升高。

患者资料

年龄:80岁

性别:男

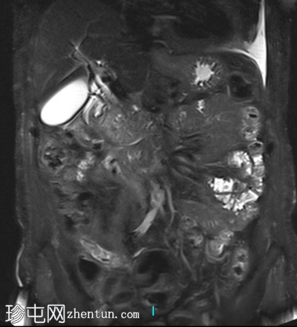
磁共振胰胆管成像 (MRCP)

MRI
冠状位
T2加权像
1.jpg
冠状位T2加权像
脂肪抑制像
2.png
轴位
弥散加权成像 (DWI)
3.jpg
轴位
表观扩散系数 (ADC)
4.jpg
轴位T1加权像
同相位
5.png
三维
T2加权像
6.png
轴位T1加权像
反相位
7.png
轴位T2加权像
脂肪抑制像
8.png
胰腺钩突附近可见边界不清的肿块,T2加权像呈不均匀中等信号,弥散受限明显。肿块大小为4.1 x 5 x 3 cm(前后径 x 横径 x 头尾径)。伴有胰管扩张,直径约6 mm。

肝脏可见多个大小不一的可疑病灶(从亚厘米级到2厘米不等)。T2加权像呈高信号,弥散受限明显。

远端胆总管突然变窄,但未完全阻塞。

胰腺周围可见多发囊性病变,部分与主胰管相连,提示胰腺导管内乳头状黏液性肿瘤(IPMN)。

双侧胸腔积液,左侧较多。

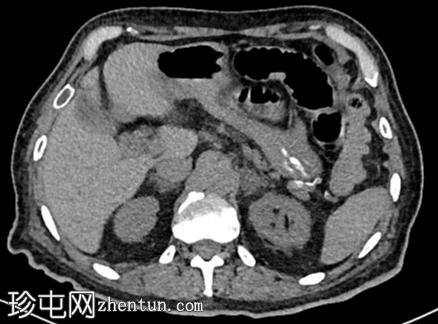
CT
9.png
这张4个月前的非增强CT图像显示,胰腺钩突周围及十二指肠第二段有轻微的饱满感。

病例讨论

这张4个月前的非增强CT图像显示,胰腺钩突及十二指肠第二段区域有轻微的饱满感。遗憾的是,这一发现被忽略了。

事后看来,这应该促使医生进行进一步评估。早期胰腺肿瘤在CT图像上可能表现为轻微的轮廓异常或局灶性饱满,很容易被忽略。当发现此类情况时,建议进行增强CT或MRI等专门的胰腺成像检查,因为早期发现可以显著影响治疗和预后。
您需要登录后才可以回帖 登录 | 注册
Copyright © 2011-2026 东莞市珍屯医疗科技有限公司Powered by zhentun.com
返回顶部