首页
Portal
订阅
产品资料
医疗器械
外科训练
医学论坛
BBS
关于我们
联系我们
登录
立即登录
立即注册
其他登录
QQ
微信
搜索
搜索
本版
文章
帖子
用户
本版
文章
帖子
用户
首页
Portal
订阅
产品资料
医疗器械
外科训练
医学论坛
BBS
关于我们
联系我们
账号
自动登录
找回密码
密码
登录
注册
外科
内科
第三
第四
中医
辅助
执业
教育
专区
好友
帖子
收藏
淘帖
分享
记录
留言板
门户
导读
排行榜
设置
我的收藏
退出
珍屯医学
»
医学论坛
›
外科
›
普外腹腔镜
›
乙状结肠扭转——咖啡豆和漩涡的征兆
返回列表
乙状结肠扭转——咖啡豆和漩涡的征兆
[复制链接]
作者:
大江
|
时间:
昨天 16:29
|
阅读:6
|
显示全部楼层
临床表现
腹胀和便秘。
患者资料
年龄:80岁
性别:男
X线片
正位片
正位片
大肠袢扩张,呈“咖啡豆征”,直肠内未见气体,提示乙状结肠扭转。
CT
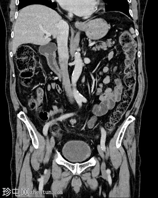
轴位增强扫描(门静脉期)
冠状位增强扫描(门静脉期)
乙状结肠系膜呈漩涡征,乙状结肠袢扩张且冗长。乙状结肠和直肠下游塌陷。结肠上游扩张。小肠袢未见扩张。乙状结肠系膜少量积液,脂肪条索状改变。腹膜内未见游离气体。
病例讨论
本病例展现了乙状结肠扭转的典型
影像
学表现,X线片可见“咖啡豆征”,CT可见漩涡征。通过硬式乙状结肠镜检查成功解除了结肠压迫。
回复
举报
返回列表
发表新帖
高级模式
B
Color
Image
Link
Quote
Code
Smilies
您需要登录后才可以回帖
登录
|
注册
大江
关注Ta
主题 17673
帖子 16759
积分 42317
此人很懒,什么也没留下。
•
轻松订阅最新动态(简易法)
•
珍屯网“股份”积分策略
•
会员注册规则说明——试行
•
您看好“外资独资办医”吗?欢迎大家投票和讨论
•
为各位医友推荐些好书!可代购
•
无排卵
•
《简明体格检查图解》┊陈清兰,郑智远编著.PDF
•
全国实践技能考试准考证打印一览表
阅读作者更多精彩帖子
热门问答
更多>
0
腹腔镜侧面定点缝合训练
99人围观, 发布于2026-02-18
0
外科定点缝合训练指南
83人围观, 发布于2026-02-20
0
血管吻合训练指南
77人围观, 发布于2026-02-21
0
腹腔镜缝合训练方法
74人围观, 发布于2026-02-23