找回密码
 注册

肝气肿脓肿

作者:大江 | 时间:昨天 16:33 | 阅读:6| 显示全部楼层
临床表现

发热,右上腹疼痛,全身乏力。

患者资料

年龄:60岁

性别:女

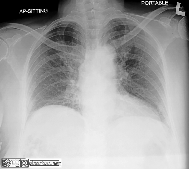
X线检查
1.png
右侧膈肌下方可见斑驳状气体影。

野清晰。无胸腔积液。心纵隔边界正常。

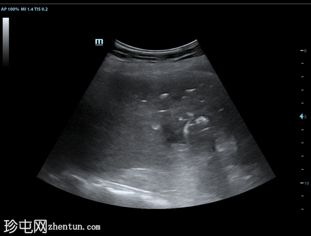
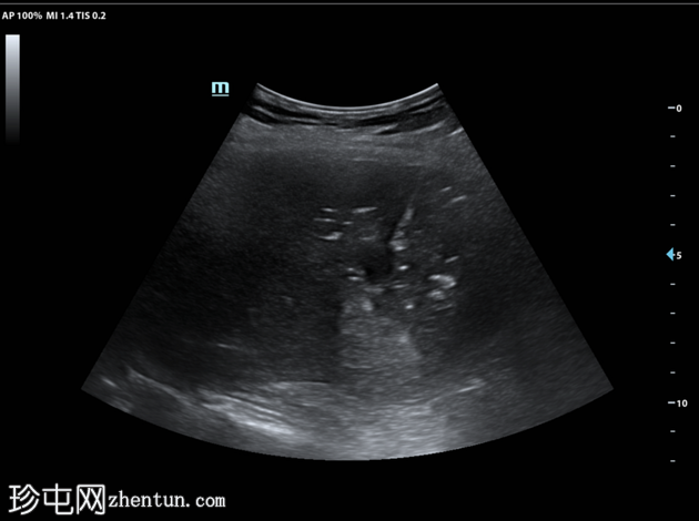
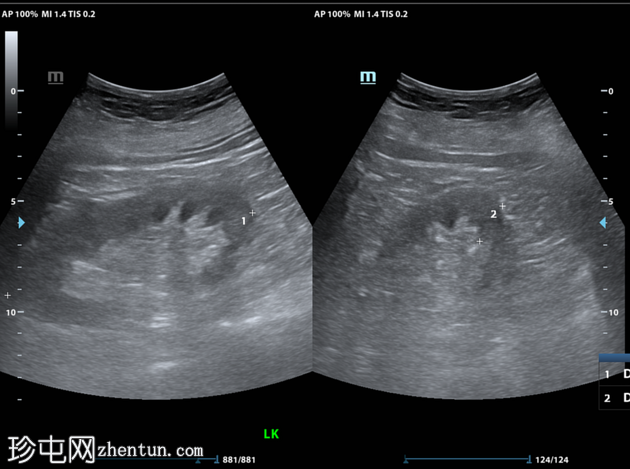
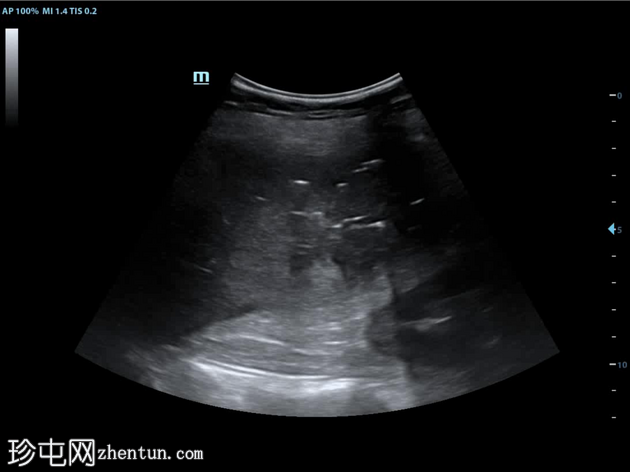
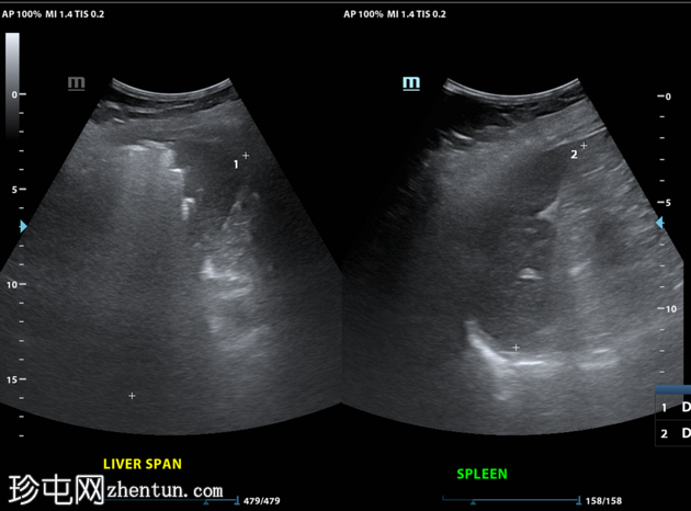
超声检查
2.png
肝胆系统
3.png
泌尿系统

肝脏第6和第7段可见多个高回声气体腔,遮挡肝脏后部

肝脏其他部位形态及回声纹理正常

胆总管扩张,无结石,肝内胆管未见扩张

其他方面正常无游离液体

17 小时后

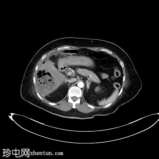
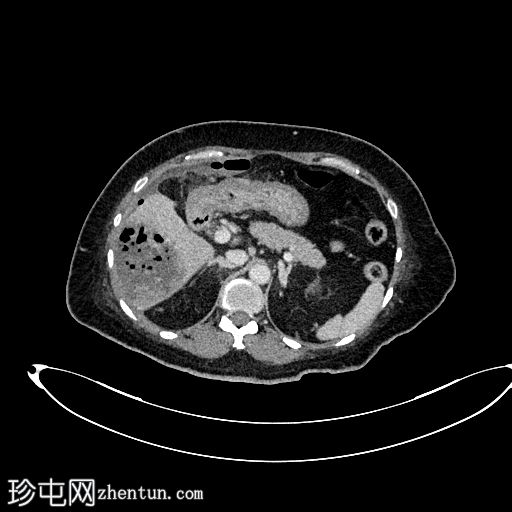
CT
轴位
非增强
4.jpg
轴位增强(C+)

动脉期
5.jpg
轴位增强(C+)门静脉期

静脉期
6.jpg
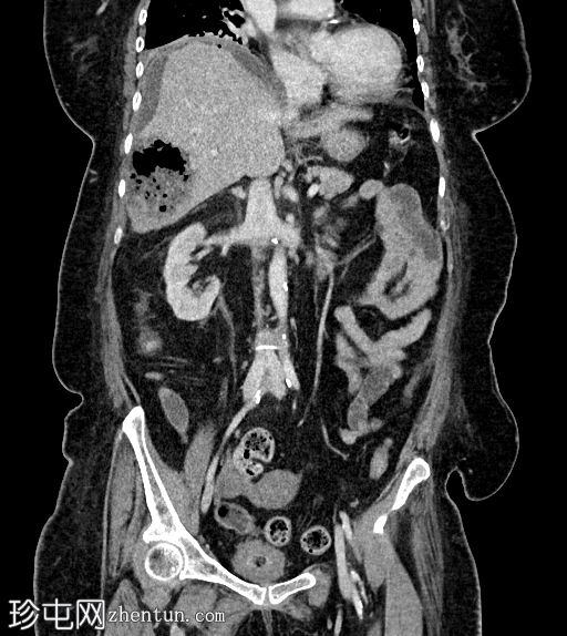
冠状位增强(C+)门静脉期

静脉期
7.jpg
矢状位增强(C+)门静脉期

静脉期
8.jpg
轴位增强(C+)

延迟期

肝段 6 和 7 可见多房性积液,呈环状强化

积液内可见多个气体腔

破入肝包膜下间隙,可见肝包膜下积液及气体腔

壁层腹膜与前腹壁之间可见另一局灶性积液

肝段 7 的肝内胆管局灶性扩张(0.3cm),内含气体腔

其他肝内胆管和肝外胆管均正常

胆囊缺失,可能由于既往胆囊切除术所致

无游离液体。

双侧肾皮质囊肿

轻度右侧胸腔积液伴邻近肺不张

12小时后

超声
纵切面(肝脏

第6和第7段)
9.jpg
穿刺针

插入第VI段
10.png
猪尾导管尖端
11.png
插入后
12.png
将穿刺针插入第6段肝脓肿。抽取血脓性液体。

插入导丝,扩张通道,然后插入猪尾导管。猪尾导管用引流锁固定。导管尖端位于肝脓肿内。

对肝包膜下积液重复相同操作(未显示)。

病例讨论

患者有高血压、缺血性心脏病和慢性肾脏病史。2个月前,她曾接受内镜逆行胰胆管造影术(ERCP)、支架置入和取出术,随后进行了胆结石取出术。患者入院时白细胞计数升高至 41 x 10⁹/L。总胆红素正常,为 7 μmol/L。然而,丙氨酸氨基转移酶 (ALT) 升高至 246 U/L,天冬氨酸氨基转移酶 (AST) 升高至 356 U/L。患者开始接受静脉注射去甲肾上腺素治疗。

对于发热患者,若在右侧膈肌下方发现斑驳状气体影,放射科医生应考虑气肿性肝脓肿的诊断。鉴别诊断包括膈下脓肿。门静脉积气或胆道积气的可能性较小,因为它们呈管状。其他良性鉴别诊断包括 Chilaiditi 综合征。

超声表现符合气肿性肝脓肿。数小时后进行的肝脏增强 CT 多期扫描显示气肿性肝脓肿破裂。

对肝脓肿进行了经皮引流。脓液培养结果显示混合菌生长。类疽、真菌和肺结核的检测结果均为阴性。血培养未见细菌生长。

术后第3周的超声复查显示肝脓肿体积较前缩小。

产气菌,例如肺炎克雷伯菌、大肠杆菌和梭菌属,是最可能的致病菌。伴有产气的肝脓肿具有较高的感染性休克、临床病情迅速恶化和转移性并发症(例如感染性肺栓塞)的风险。此类感染会导致多器官功能衰竭和死亡。使用覆盖革兰氏阴性菌和厌氧菌的广谱抗生素,并紧急进行经皮引流,可能有助于预防病情恶化。

风险因素包括未控制的糖尿病、既往腹部手术、潜在的肝胆疾病(如本例中的免疫抑制和恶性肿瘤)。
您需要登录后才可以回帖 登录 | 注册
Copyright © 2011-2026 东莞市珍屯医疗科技有限公司Powered by zhentun.com
返回顶部