找回密码
 注册

Morgagni疝

作者:大江 | 时间:昨天 16:38 | 阅读:6| 显示全部楼层
临床表现

发热和呼吸道症状。

患者资料

年龄:3岁

性别:男

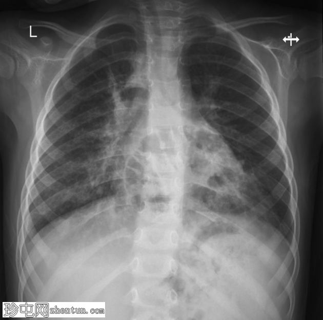
X线片
1.png
正位片
2.png
侧位片

底部可见边界不清的阴影,最符合呼吸道感染的表现。

正位和侧位片上偶然发现胸骨后肠管。

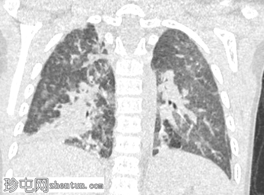
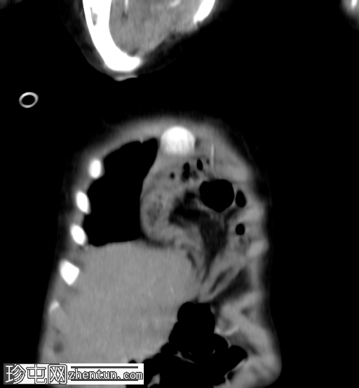
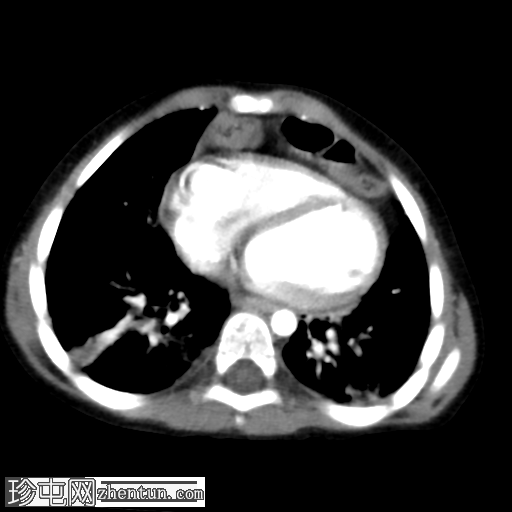
CT
3.png
冠状位增强扫描

动脉期
4.png
轴位增强扫描

动脉期
5.png
矢状位增强扫描

动脉期
6.png
冠状位

肺窗

横结肠及其系膜经膈前部缺损疝入前纵隔。

未见肠管扩张或梗阻。

双肺实变影,提示呼吸道感染。

术后
X线片
7.png
先前所见的胸骨后肠管消失。

实变影较术前有所改善。

病例讨论

莫尔加尼孔疝是一种罕见的先天性膈疝,位于胸骨后方,通过膈肌上的一个缺损(称为莫尔加尼孔)突出到胸腔。该缺损位于膈肌与胸骨的交界处,通常位于右侧,腹腔脏器(最常见的是大网膜和横结肠)可通过此缺损疝入胸腔。莫尔加尼孔疝约占所有先天性膈疝的2%~4%,通常无症状;但在成人中,它可引起非特异性的呼吸系统或胃肠道症状。
您需要登录后才可以回帖 登录 | 注册
Copyright © 2011-2026 东莞市珍屯医疗科技有限公司Powered by zhentun.com
返回顶部