找回密码
 注册

阔韧带疝引起的小肠梗阻

作者:大江 | 时间:昨天 16:45 | 阅读:14| 显示全部楼层
临床表现

急性盆腔疼痛。炎症标志物升高。

患者资料

年龄:40岁

性别:女

1个病例问题

CT影像

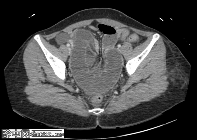
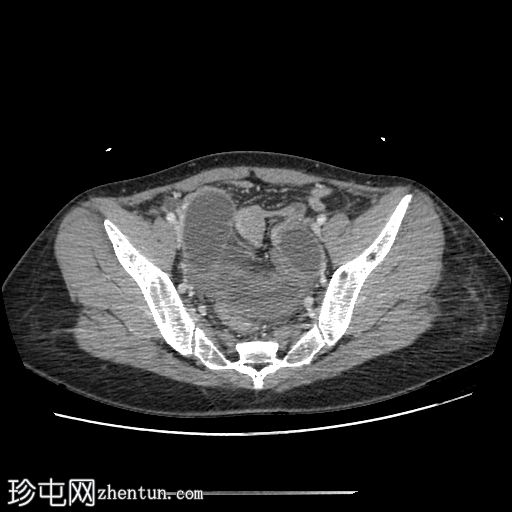
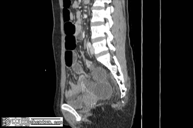
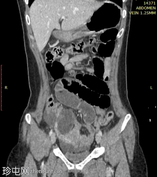
CT
轴位增强扫描(门静脉期)
1.jpg
矢状位增强扫描(门静脉期)
2.png
冠状位增强扫描(门静脉期)
3.png
轴位增强扫描(门静脉期)
4.png
矢状位增强扫描(门静脉期)
5.png
小肠袢明显扩张,左侧附件区可见双移行点,远端回肠短段闭袢梗阻,肠颈位于左侧输卵管/左侧子宫血管附近。

肠系膜血管充血,腹盆腔可见游离液体,提示肠系膜充血。

远端回肠袢和结肠已减压。

无肠缺血或穿孔的影像学证据。

病例讨论

CT 检查结果提示左侧附件水平小肠短段闭袢性梗阻。肠段的移行点和形态提示可能存在阔韧带或与左侧附件结构相关的粘连带引起的内疝。

剖腹探查发现一段小肠经左侧子宫阔韧带的小缺损处疝出并发生绞窄。复位绞窄的肠段后,缝合阔韧带缺损。
您需要登录后才可以回帖 登录 | 注册
Copyright © 2011-2026 东莞市珍屯医疗科技有限公司Powered by zhentun.com
返回顶部