找回密码
 注册

自发性小肠壁内出血——低灌注

作者:大江 | 时间:昨天 16:48 | 阅读:14| 显示全部楼层
临床表现

患者主诉急性腹痛。既往有机械二尖瓣置换史,目前服用辛妥昔单抗(Sintrom)进行抗凝治疗。

患者资料

年龄:55岁

性别:女

CT
1.jpg
轴位

平扫
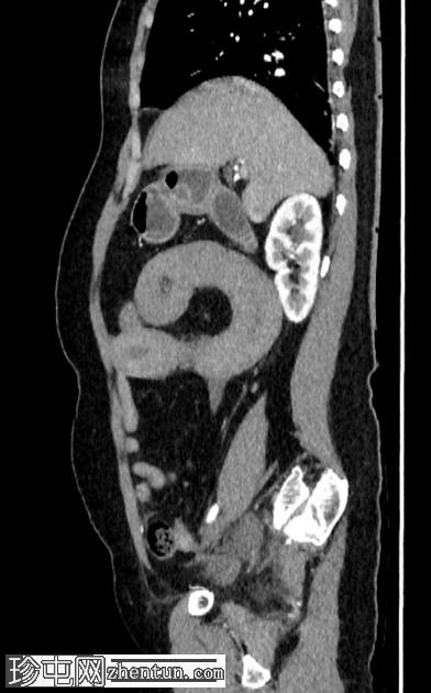
2.png
矢状位增强扫描

动脉期
3.png
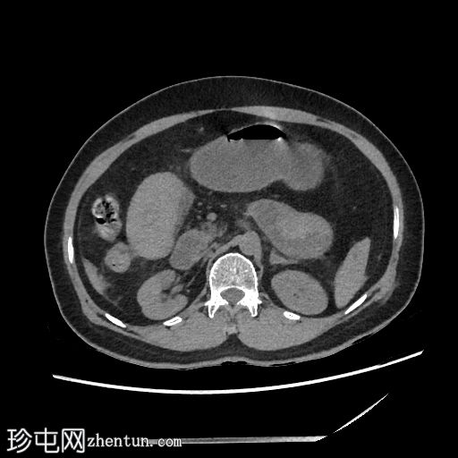
轴位增强扫描

动脉期

空肠(长段,60 cm)肠壁弥漫性节段性增厚。肠壁呈高密度影,平扫CT值约为56 HU,并可见强化。

可见肠系膜水肿和血管充血,以及少量腹水。

肠系膜上动脉和静脉通畅,未见血栓。

影像学表现最提示黏膜下出血。

鉴别诊断包括感染性肠炎。

一天后

CT
轴位
非增强
4.jpg
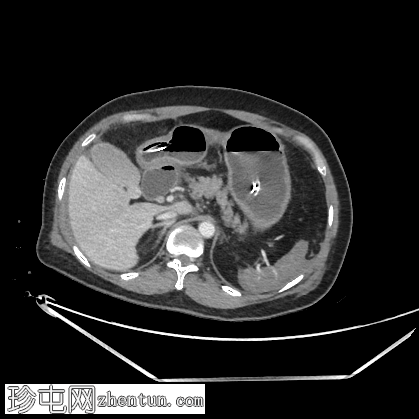
轴位增强

动脉期
5.png
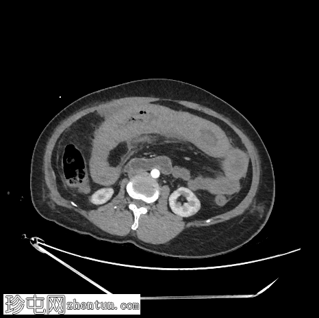
轴位增强
门静脉期
6.png
肠壁强化减弱,高度提示肠缺血。

腹腔内可见中等量腹水。

低灌注综合征:

血管表现

腹主动脉管径变细:前后径12 mm

腹主动脉分支变细:腹腔干5.3 mm;肝总动脉3.2 mm;脾动脉1.5 mm;肠系膜动脉直径 4.4 mm

下腔静脉扁平征

内脏表现

脾脏灌注不足,脾脏体积略有缩小:初始测量值为 57 x 35 x 38 mm,后续影像学检查缩小至 56 x 31 x 33 mm

肝脏灌注不足:肝实质呈不均匀强化,主要累及右肝叶

双侧肾上腺强化

双侧可见肾图增高、延长且呈条纹状

病例讨论

患者有机械二尖瓣置换史,并正在服用抗凝药物。

影像学表现提示自发性空肠壁内出血,伴有肠壁缺血的证据,导致出血性休克和弥漫性血管痉挛。CT 扫描期间,患者正在接受血管加压药物支持。

红细胞计数:1,77。血红蛋白:54 克/升。红细胞压积:16.4%。

国际标准化比值:28.3。
您需要登录后才可以回帖 登录 | 注册
Copyright © 2011-2026 东莞市珍屯医疗科技有限公司Powered by zhentun.com
返回顶部